よくクライアントさんの訴えとして聞くのが「肩コリ」です。
厚生労働省から出ている2022年のデータになりますが、
男性では「腰痛」、女性では「肩コリ」の症状が一番多いようです。
でも、肩コリって実際どうなっているのでしょうか??
あの不快なコリの正体ってなんなのでしょうか。。。
そこで、当院で使っているエコーを用いてみます。
場所はよく肩コリを感じる場所。この辺です。

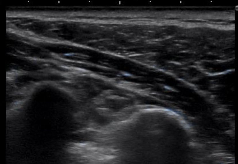
こちらが肩コリを感じていない方のエコー画像です。

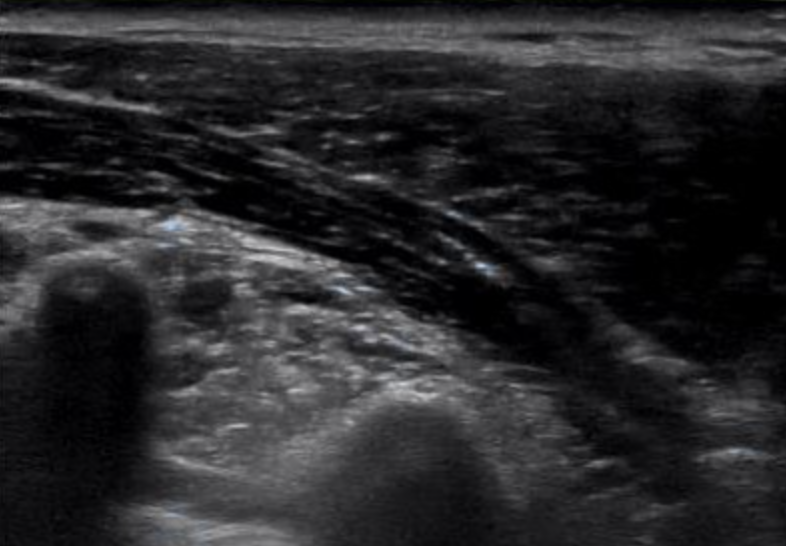
そして、こちらが肩コリの症状を感じている方のエコー画像です。

両方とも同じような場所をみているのですが、
下の画像の方が、画面下側の白っぽさが強いと思いませんか?
ごく簡易的に説明すると、
エコーは硬いものほど白く映る装置になります。
なので、凝って固くなっている部分が白く厚く映るのではないかということです。
これが肩コリの正体ではないかと考えています。
専門用語で、この白くなった部分をスタッキングファシア(ファシアの重積)といいます。
こういったところを鍼を使って丁寧にリリースしていきます。
実は、この下には肺があるので、
あまり深く刺すのができない場所なんですが、
エコーで肺の位置が確認できるので、
深いところにあるコリにも安全にアプローチができるのです。
エコーってすごい!!(笑)
鍼は伝統的な医学ですが、
近代的な知見や道具をうまく使うことで、
その効果をより高められるのでは、と感じています。

